Fractures
Nearly one-fourth of all the bones in your body are in your feet. A broken (fractured) bone in your forefoot or in one of your toes is often painful, but rarely disabling. Most of the time, these injuries heal without operative treatment.
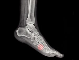
There are two types of foot fractures: stress fractures and general bone fractures. Stress fractures usually occur in the bones of the forefoot extending from the toes to the middle of the foot. Stress fractures are like tiny cracks in the bone surface. They can happen with sudden increases in exercise (such as running or walking for longer distances or times), improper training techniques, or a change in surfaces.
Most other types of fractures extend through the bone, and are called bone fractures. They may be stable, in which there is no shift in bone alignment, or displaced, in which the bone ends no longer line up properly. Bone fractures usually result from trauma, such as dropping a heavy object on your foot, or from a twisting injury. If the fractured bone does not break through the skin, it is called a closed fracture. If the fracture does break through the skin, it is called an open fracture.
Because of the complex structures in the foot, there are some other, more specific types of fractures that can occur. For example, the fifth metatarsal, known as the little or pinky toe, is susceptible to a variety of different fractures. The relationship between the ankle and the foot can be compromised by an ankle-twisting injury, which may tear the tendon that attaches to this bone and pull a small piece of the bone away. A more serious injury in the same area is known as a Jones fracture, which occurs near the base of the bone and disrupts its blood supply. This injury may take longer to heal or require surgery.
Common symptoms for any type of foot fracture includes pain, swelling, and sometimes bruising. Be sure to seek medical attention for any suspected foot fracture.

an x-ray of a human metatarsal bone fracture, diagnosis, broken

Digital medical illustration depicting a bimalleolar fracture (lateral + medial) (broken ankle). Posterior (rear) view.